photo-1620775997990-ee3c25938b4c?crop=entropy&cs=srgb&fm=jpg&ixid=MnwyOTE3NDV8MHwxfHNlYXJjaHw3fHx0ZWV0aCUyMGJsZWFjaGluZ3xlbnwwfHx8fDE2NTA4OTMzOTc&ixlib=rb-1.2

Ästhetische Zahnmedizin  

(Esthetic dentistry, aesthetic dentistry, cosmetic dentistry)

Die Ästhetische Zahnmedizin ist oft eine Kombination vieler Fachgebiete, wobei die folgenden 7 eine besonders starke Rolle spielen: Dentalhygiene, Zähnebleichen, Zahnstellungskorrekturen, Porzellanschalen, Kronen, weisse Komposit-Füllungen und oralchirurgische Korrekturen der Zahnästhetik.


Dentalhygiene 

Die Dentalhygiene oder auch professionelle Zahnreinigung genannt wird durch Prophylaxeassistentinnen, Dentalhygienikerinnnen oder Zähnärzte ausgeführt. Hierbei werden die Zähne von dunklen Belägen und Zahnstein befreit, was ihnen ihre ursprüngliche Farbe wieder verleiht. (siehe hier auch späteres Kapitel Dentalhygiene/Parodontitis)


Wie bekomme ich schöne weisse Zähne?

Zähnebleichen

(Bleichen der Zähne, Bleaching) 

In Office Bleaching 

(professionelles Zähnebleichen in der Zahnklinik)

Die Zähne werden durch einen Schutzlack, Watterollen und spezielle Halter geschützt und mit einem professionellem konzentriertem Bleichgel behandelt, dieser Vorgang wird meistens mehrmals wiederholt um ein möglichst gutes Ergebnis zu erzielen.


Der Grund für die Wiederholung besteht darin, dass das Gel mit der Zeit an Wirksamkeit verliert. Zur besseren Entfaltung der Wirksamkeit des Bleichgels wird oft die eine spezielle UV-Lampe verwendet. Für beide Zahnreihen (die obere und untere Zahnreihe) muss man mit Kosten von CHF 470.- * rechnen, dies ist ein Vorzugspreis, da das Bleaching für beide Kiefer normalerweise etwa 650.- Franken kostet.

* Im Kombi-Angebot: Dentalhygiene + Bleaching CHF 590.-


Home Bleaching  

(ein zuhause ausgeführtes Zähnebleichen mittels eines, in seiner Wirksamkeit und Konzentration abgeschwächten Bleichgels)

Um die Zähne zu Hause zu bleichen werden verschieden Verfahren angeboten. Einerseits billige Varianten aus dem Supermarkt mit schwachen Bleichgels und ungenau sitzenden Gelträgern andererseits meist stärkere Bleichgels mit vom Zahnarzt vorgefertigten Gelträgern, sogenannten Tiefziehschienen.

Bei beiden Verfahren ist zu beachten, dass nur verfärbte Zähne weisser werden. Füllungen und Kronen behalten die ursprüngliche Farbe. Die Kosten für das Home Bleaching variieren in Funktion der Kosten für die Bleichschienen und das Bleichgel von 250 - 550 Franken.

Bleichen der Zähne, Bleaching

Weisse Füllungen

Kompositfüllung werden im Volksmund auch Kunststoff- oder Porzellanfüllung genannt.

Eigentlich handelt es sich um ein Gemisch also Komposit auf zwei oder mehr Materialien, also Kunststoff und Keramikpulver. Eine Kompositfüllung kann in einer Sitzung appliziert werden.

Früher nannte man Füllungen Plomben. Dieser Begriff wird nicht mehr angewendet, weil sich das Wort Plombe vom «plomb»= Blei ableitet, was auf eine Metall-Füllung deuten würde und das bei weissen Kompositfüllungen gänzlich unzutreffend wäre. 

  • Ästhetisch sehr schön
  • Preisgünstig
  • Gute Haltbarkeit bei guter Mundhygiene (8 bis 15 Jahre)
  • Klebt im Loch / stützt den Zahn
  • Faustregel: Je weiter hinten, je tiefer, je grösser das Loch und je schlechter die Mundhygiene, umso weniger eine direkte Kompositfüllung.
  • Gute Mundhygiene erforderlich
  • Nicht geeignet wenn das Loch nicht trocken gelegt werden kann, sei es, weil es zu tief ist oder aus anderen Gründen (die Trockenlegung kann unter Umständen sehr aufwendig sein).
  • Der interdentale Kontaktpunkt stellt an den Zahnarzt hohe Anforderungen (Füllung muss evtl. wiederholt werden, sonst Speisereste)
Weisse Kompositfüllung mit UV-Lampe

(Die weissen Kompositfüllungen werden mit Hilfe einer UV-Lampe ausgehärtet. Dies wird durch ein Pigment ermöglicht, welches lichtempfindlich ist und Polymerisation (= chemische Abbildung und Aushärtung) ermöglicht.)

Amalgamsanierung

Amalgam - Komposit

Amalgam besteht aus Quecksilber, Silber, Zink, Kupfer, Zinn.

  • Preisgünstig und antibakteriell deshalb wird es nur noch in Fremdpraxen oder Sozial-Zahnmedizin verwendet, wo damit gerechnet werden muss dass die Patienten nicht hinsichtlich Mundhygiene wenig diszipliniert und einsichtig sind
  • Gute Haltbarkeit, 8 bis 20 Jahre
  • Die Füllung bricht, wenn es darunter Karies hat, man sieht, wann die Füllung ersetzt werden muss.
  • Gesundheitliche Bedenken *
  • Ästhetisch unschön
  • Entsorgung belastet die Umwelt 
  • Eine kurze zweite Sitzung ist wegen der Politur nötig
  • Klebt nicht / stützt den Zahn nur bedingt


*Symptome die beobachtet wurden: Konzentrationsschwierigkeiten, Kraftlosigkeit, Gelenkschmerzen und alzheimerähnliche Symptome 

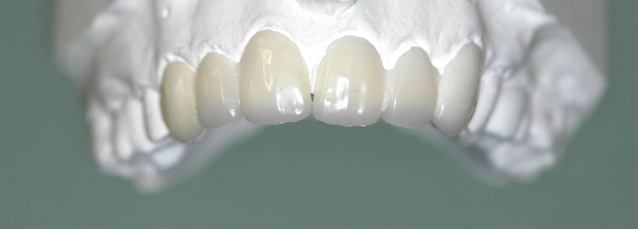
Veneers, Keramikschalen

(auch Porzellanschalen oder Luminees genannt)

Amalgam - Komposit

Diese sehr dünnen Schalen können auf gesunde oder bereits mit Füllungen versehene Zähne mit speziellem zahnärztlichem Kompositkleber befestigt werden.

Diese können manchmal ganz ohne zu Schleifen angebracht werden, in den meisten Fällen aber mit einer kieferorthopädischen Korrektur oder kleinem Beschleifen.

Ob dies möglich ist oder ob doch etwas geschliffen werden muss, entscheidet der erfahrene Zahnarzt, welcher sich auf diesem Gebiet spezialisiert hat. Meistens werden die Frontzähne mit den Veneers versorgt. Es können aber auch alle Oberkieferzähne vom zweiten Prämolar über die Front bis zum anderen zweiten Prämolar mit Veneers versorgt werden.


(Hauchdünne Keramikschalen (Veneers) –die Schalen sind 0.3 bis 0.5 mm dünn.)

Zahnspange mit festsitzenden Keramik-Brackets.

Die neueste Entwicklung verspricht eine schonende Behandlung praktisch ohne Schmerzen. Eine vorgängige Zahnstellungskorrektur oder ein Abschleifen der Zähne ist oft nur geringfügig nötig. Die Keramikschalen sind kostenintensiver, dafür wesentlich dauerhafter als das Bleichen der Zähne.

Bleichen war lange Zeit der Königsweg zu makellos weissen Zähnen. Doch der Effekt des Bleachings hält manchmal nur wenige Monate: Tee und Rotwein setzten rasch wieder an und das Bleichen muss entsprechend oft wiederholt werden. Zudem ist Bleichen heikel, am effektivsten ist die inoffice Methode also in der Zahnklinik, eine etwas weniger effektive Lösung ist das home-bleaching , dies ist günstiger aber weniger effektiv weil keine konzentrierten Bleichmittel für den Hausgebrauch angeboten werden.


Wer die Kosten nicht scheut (etwa 1000 bis 1200 Franken pro Zahn), kann innert 1-2 Wochen Ronaldo beim Lächeln Konkurrenz machen. Mehr als zwei Sitzungen sind meist nicht nötig. Beim ersten Termin stellt der Zahnarzt einen Gebiss-Scan (digitales 3-D Foto) her. Beim zweiten Termin können die Veneers bereits mit einem Spezialkleber auf dem Zahn fixiert werden. Dazwischen liegt eine Menge Handarbeit im spezialisierten Labor, wo die Veneers entsprechend dem Zahn-Scab einzeln angefertigt werden.

Aus Gründen der Farbharmonie wird meist eine Gruppe von mindestens zwei bis vier Zähnen behandelt.

Der Zahnarzt erstellt Ihnen gerne einen genauen Kostenvoranschlag.

Die Veneers können wieder entfernt werden.


Aus Gründen der Farbharmonie und Symmetrie wird meist eine Gruppe von mindestens zwei bis vier Zähnen behandelt. 


Kieferorthopädie

Zahnstellungskorrektur, Zahnspange, Aligner

Es wird unterschieden zwischen Zahnspangen für Erwachsene und für Kinder und weiter zwischen festsitzenden und abnehmbaren, wobei man bei den Letzten weiter zwischen unsichtbaren (Invsiaglign, ClearCorrect u.a.) und Multiband-Apparaten unterscheidet.


Eine unvorteilhafte Ästhetik ist bei den Erwachsenen der Hauptgrund für Anfragen zur Zahnstellungskorrektur. Meist sind dies auseinanderstehende Frontzähne oder protrudierte Frontzähne. Nicht selten sind plötzlich auftretende Zahnwanderungen in der Front mit einem Taschenbildung vergesellschaftet und eine Parodontitisbehandlung muss vorgängig oder gleichzeitig mit der kieferorthopädischen Behandlung (Zahnspangen-Therapie) eingeleitet werden.


Schämt man sich zu lachen, hat das Auswirkungen auf die Selbstsicherheit und das Selbstwertgefühl eine Korrektur ist sinnvoll.

1.  Invisalign - abnehmbare (fast) unsichtbare Zahnspange

2. abnehmbare Spange aus Kunststoff und Orhodrähten

3. festsitzende Multiband-Apparatur, Zahnspange

4. Lingualtechnik, Brackets auf der Hinterseite der Zähne 

Schöne regelmässige Zähne, ohne ästhetische Nachteile einer Drahtapparatur war jahrelang der Wunsch vieler Patienten. Die Invisalign-Zahnspangen erfüllen weitgehendst diese Ansprüche. Hierbei handelt es sich nicht um eine einzige Spange sondern um eine ganze Anzahl (Sequenz) von durchsichtigen individuell gefertigten dünnen Kunststoffschienen.


Sie werden jeweils die ersten 2 Wochen lang getragen bevor sie durch eine folgende ersetzt werden. Die Bezeichnung Invisalign ist ein Markeinname und abgeleitet aus dem Englischen “invisible” (unsichtbar) und “align” ausrichten. Die Kunststoffschiene (Spange) heisst im Englischen “Aligner” darum spricht man manchmal auch über die Aligner-Therapie.


(Zahnspange Invisalign links - konventionelle festsitzende Zahnspange rechts)

Da jeweils die nächste Schiene in Form abweichen üben sie einen Druck auf die Zähne aus und bewegen sie in die gewünschte Richtung. Der so umgestaltete Zahnstellung Zahnhalteapparat ist nach der erfolgten Bewegung aber noch nicht stabil und deshalb braucht es nach der Korrektur eine Haltephase (Retentionsphase) oder gar eine Überkorrektur damit ein mögliches Rezidiv (Rückschritt) abgefangen wird.

  • Die Schienen sind durchsichtig – fast unsichtbar und deshalb ästhetischer als normale Zahnspangen.


  • Sie sind herausnehmbar und deshalb kann das Essen und Trinken ohne Probleme vonstattengehen.


  • Das Vorher – Nachher – Resultat kann im Computer simuliert werden, der Patient kann somit Wünsche anbringen und seine Zustimmung geben bevor die Bestellung in Auftrag gegeben wird.


  • Aus diesem Grund ist auch die Mundhygiene (Zähneputzen) normal möglich, daher wird auch die Karies- und Zahnsteinbildung nicht zusätzlich gefördert im Unterschied zu festsitzenden Apparaturen.


  • Weil sie herausnehmbar ist, ist auch das Putzen der Schiene leicht möglich.


  • Da es sich um eine Sequenz von Schienen handelt, welche jeweils nur ca. 2 Wochen getragen werden, kommt es nicht zu einer tiefporigen Verschmutzung und Verfärbung durch Beläge.
  • Die Zahnschienen sind herausnehmbar, dies kann bei Zuwenig- oder Nichttragen dazu führen, dass die Behandlungsdauer sich verlängern kann.


  • Die Schienen sollten 22 Stunden am Tag getragen werden um den erwünschten Therapieerfolg zeitplangemäss zu erreichen.


  • Es können nicht alle Zahnkorrekturen behandelt werden. (Dies trifft ab einem bestimmten Grad auf die Drahtspangen zu, weil manchmal gewisse schwere Zahnstellungs-Abweichungen nur mit Kieferchirurgie korrigiert werden können.)


  • Nach der Schienen-Therapie (Aligner-Therapie) folgt eine Retentionstherapie (Auch dieser Nachteil trifft auf die Drahtspangen zu).


  • Am Anfang der Therapie kann es zum Lispeln kommen, weil der Patient gewisse Gewöhnungszeit bedarf.


  • Die Kosten sind relativ hoch. Die privaten Krankenkassen zahlen an die Therapie einen Zuschuss (Empfehlenswert vorgängig eine entsprechende Abklärung bei der Krankenkasse zu machen).
  • Wie bereits erwähnt, müssen die Schienen 22 Stunden am Tag getragen werden ausser zum Essen und Trinken.


  • Alle 2- 3 Wochen muss die eine Schiene durch die nächste Schiene der Schienenserie ausgewechselt werden.


  • Einmal im Monat ist eine Nachkontrolle beim Zahnarzt nötig. Die Behandlung dauert je nach Grösse der gewünschten Zahnstellungsveränderung 6 bis 12 (18) Monate.

Abnehmbare Drahtspange

(Abnehmbare Zahnspange farbig)

(Abnehmbare Zahnspange farbig)

Festsitzende Apparatur / Zahnspange

(Multiband)

Zahnspange mit festsitzenden Keramik-Brackets.

Werden die Zahnspangen an die Zähen fest befestigt, nennt man sie Multibracket-Spangen oder Multiband-Spangen bzw. -Geräte. Wie auf den Bildern ersichtlich wird ein gebogener elastischer Drahtbogen an die Zähne mittels Halterungen, sogenannten Brackets, befestigt. Die Brackets bestehen aus Metall, Keramik oder gar Kunststoff. Der Drahtbogen wurde zuvor so geformt, dass er auf der Zielposition passiv anliegt.


Dieser Drahtbogen wird auf die schief stehenden Zähne befestigt und führt diese in die gewünschte Position, weil er eine Spannung und einen Druck ausübt.

Da die festsitzende Zahnspange kann vom Patient nicht entfernt werden kann. Eine solche Behandlung dauert oft 2-3 Jahre und ist damit oft schneller abgeschlossen als die Behandlung mit abnehmbaren Drahtspangen.
 
Der Nachteil ist die oft unakzeptable Ästhetik, erschwerte Mundhygiene, was auch die Kariesgefahr erheblich erhöht.


(Zahnspange festsitzend hier mit Keramik-Brackets.)

(Zahnspange festsitzend hier mit Metall-Brackets)

(Zahnspange festsitzend hier mit Metall-Brackets.)

Lingualtechnik, Brackets aus Porzellan und Kunststoff

Transparente Brackets

Wegen der nachteiligen Ästhetik der Multibracket-Spangen wurden verschiedene Massnahmen unternommen um sie unsichtbar zu machen. Es wurden transparente bzw. zahnfarbene Brackets aus Keramik erfunden, welche die Ästhetik verbessern - den Drahtbogen aber nicht ersetzen konnten (siehe Bild). Ausserdem hat man versucht die Brackets unsichtbar auf die Rückseite der Zähne zu setzen.


Diese Methode nennt man Lingualtechnik. Sie hat aber den Nachteil, dass sie fast nur im Unterkiefer angewendet werden kann oder nur in bestimmten Fällen im Oberkiefer, weil sich die Zähne dort treffen und Kontaktflächen bilden.


Um die Akzeptanz der Spangen weiter zu erhöhen wurden durchsichtige Schienen, sogenannte Aligner erfunden. Die bekanntesten fast unsichtbaren, transparenten Spangen sind die Invisalign Zahnspangen. (siehe unter: Kieferorthopädie)

Oralchirurgische Korrektur der Zahnästhetik

Hierbei ist Kompetenz, Erfahrung und vor allem spezifische Ausbildung des Zahnarztes wichtig. Die ABA Zahnklinik hat entsprechende Fachkräfte, welche den Patienten die richtige Therapie anbieten können. Dr. med. dent. D. J. Marschall MSc., MSc., MSc., hat die Master of Science ästhetische und rekonstruktive Zahnmedizin und Master of Science of Oral Surgery and Implantology.


Nebst diesen fünf Fachgebieten sind die Parodontologie und Konservative Zahnheilkunde (Weisse Füllungen) meist auch an der Therapie beteiligt.


Zu den gefragten Eingriffen gehört:

Abdeckung der Zahnhälse mit freiem Schleimhauttransplantat oder Zahnfleischersatz-Material. Kronenverlängerung in der Front bei Gummy-Smile Patienten.